We've all experienced it: waking from a vivid, bizarre dream that feels profoundly revealing, or stirring with no recollection at all. Yet everyone dreams nightly. What determines which dreams we remember?
Sleep cycles through distinct phases: falling asleep, light non-REM sleep, deep non-REM sleep, and REM (rapid eye movement) sleep—also called paradoxical sleep. A typical night includes 3 to 6 cycles, each lasting 60 to 120 minutes. Dreaming primarily occurs during REM sleep, when brain activity surges and eyes dart rapidly.
REM sleep makes up 20-25% of total sleep, lengthening in later cycles—which explains why morning awakenings often capture dreams mid-story. Less vivid dreams can arise in light non-REM sleep, resembling abstract thoughts rather than immersive narratives.
Research shows sleep consolidates memories while pruning excess information. Transitioning from REM to non-REM sleep erases dreams within about 10 minutes.

A 2019 Science study on mice revealed melanin-concentrating hormone (MCH) neurons in the hypothalamus drive dream forgetting. Activated during REM, these neurons distinguish vital memories for long-term storage from trivia, sending inhibitory signals to the hippocampus—the brain's memory hub. Unimportant dreams get discarded similarly.
Forgetting dreams doesn't mean they're meaningless; daytime experiences often take priority in limited neural storage.
Detailed recall requires two factors: dreams occurring late in sleep (during extended REM) and being engaging enough to persist.
A 2017 Frontiers in Human Neuroscience study found external noises trigger micro-awakenings, aiding recall—especially in those sensitive to sounds.

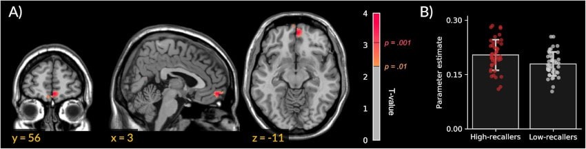
In 2018, the same team linked frequent recall to denser white matter in the medial prefrontal cortex among 'big dreamers.' This region aids dream generation more than storage, with no differences in amygdala or hippocampus.
Not everyone recalls dreams equally, but all dream. A 2015 study of REM sleep behavior disorder patients—who act out dreams physically—confirmed universal dream production, variable recall. As researchers noted: "The production of dreams is universal; the ability to remember them is variable."