Family Encyclopedia >> Health

Medical Mystery: Teen's Foul Nasal Odor Reveals 9mm Bullet Lodged for Years

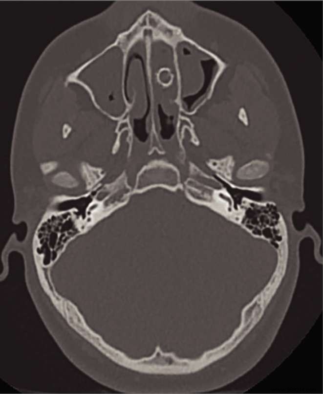
A 15-year-old boy in the United States emitted a foul odor every time he blew his nose. Treating physicians from San Antonio discovered a 9 mm caliber bullet blocking one nasal cavity, which had calcified over time.

A pungent, nauseating odor

In the realm of unusual medical cases, consider the Indian man who had a 2 kg brain tumor removed in 2018, or the 92-year-old Chilean woman who in 2015 discovered a mummified fetus in her womb after over 50 years. Reported on February 18, 2021, in JAMA Otolaryngology–Head & Neck Surgery, U.S. doctors detailed a teenager's nasal congestion that concealed something far more extraordinary.

The 15-year-old presented with bilateral nasal stuffiness, loss of smell, breathing difficulties, and visual disturbances. Suspecting seasonal allergies, clinicians prescribed antihistamines and nasal steroid spray.

A year later, he returned as symptoms persisted and worsened. Blowing his nose now triggered intense discomfort from a pungent, nauseating odor.

A bullet lodged in his nose for years

Clinicians performed nasal endoscopy, which initially showed no abnormalities. Further investigation revealed a 9 mm diameter bullet in the left inferior nasal cavity. Over time, it had calcified, obstructing natural drainage and trapping debris, bacteria, and mucus—the source of the foul smell.

Medical Mystery: Teen s Foul Nasal Odor Reveals 9mm Bullet Lodged for Years

Using nasal endoscopy, doctors removed the calcified bullet and aspirated surrounding tissues. A decongestant was administered, causing minor nosebleeds. Remarkably, the patient recovered well despite the bullet being present for years—he recalled being shot in the nose with a pellet gun at age 8 or 9.