Family Encyclopedia >> Health

First Documented Case of Vertical Penile Fracture: Insights from British Urologists

British urologists have reported the first known case of a vertical penile fracture occurring during intercourse. The 40-year-old patient underwent successful surgical repair and resumed normal sexual function after six months.

What Is a Penile Fracture?

A penile fracture involves a tear in the tunica albuginea, the tough connective tissue envelope surrounding the corpora cavernosa—the erectile tissues that fill with blood during an erection (two in the penis). This injury happens when an erect penis experiences sudden, abnormal bending force, generating intracavernosal pressure that exceeds the tissue's tensile strength.

Approximately 88.5% of penile fractures occur during sexual activity, most commonly in men in their 40s. Patients typically describe a characteristic “popping” or cracking sensation, followed by rapid detumescence and swelling, often with tissue bruising that gives the penis an eggplant-like appearance.

Though rare—affecting roughly 1 in 175,000 men per a 2016 meta-analysis—prompt surgical intervention within 24 hours is crucial to minimize risks like erectile dysfunction, penile curvature, or urinary issues.

The First Reported Vertical Fracture

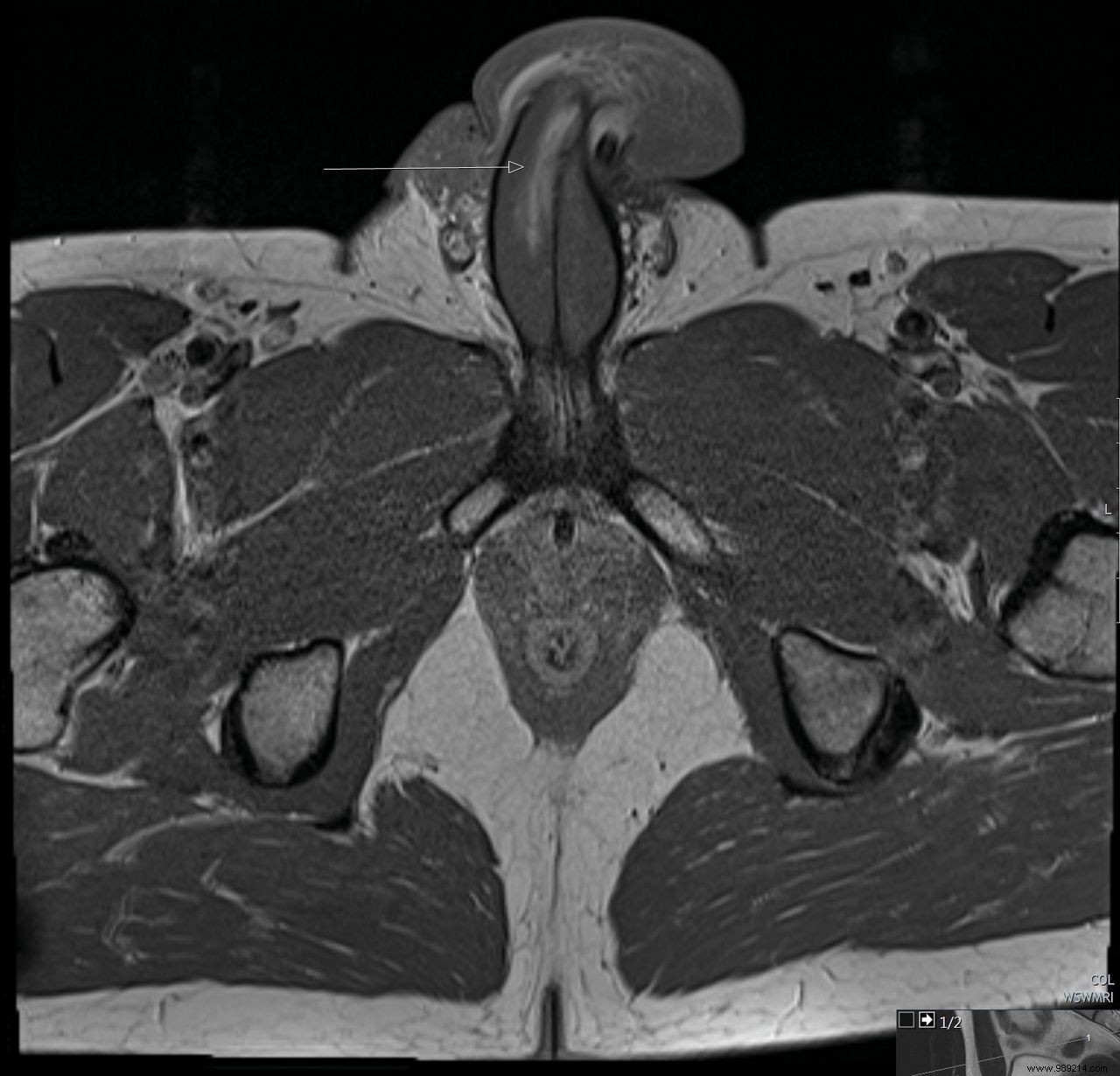
Previously documented fractures featured transverse tears in the tunica albuginea. Now, in a British Medical Journal Case Reports publication, UK urologists describe the first MRI-confirmed vertical penile fracture.

The 40-year-old man sought care after his erect penis bent awkwardly against his partner's perineum during sex. He reported progressive swelling without the typical “pop,” and MRI revealed a vertical tear (top-to-bottom) on the ventral surface of the right corpus cavernosum, spanning about 3 cm (see figures 1 and 2).

First Documented Case of Vertical Penile Fracture: Insights from British Urologists First Documented Case of Vertical Penile Fracture: Insights from British Urologists

Surgical repair was successful, and six months later, the patient resumed sexual activity with "erections of the same quality as before the injury," as noted by his doctors.